
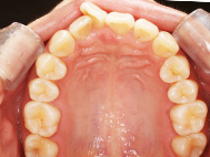
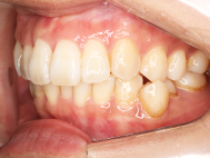
Before

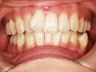
After
| 年齢 | 31歳 |
|---|---|
| 性別 | 女性 |
| 症状 | 上顎前歯捻転 |
| 治療内容 | 歯の裏に装置を接着して歯並びを治す |
| 治療期間 | 8ヶ月 |
| 費用 | 408,000円 治療当時の価格です。 |
| 備考 |




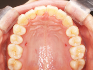
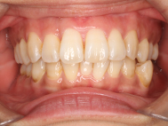
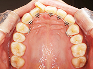
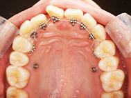
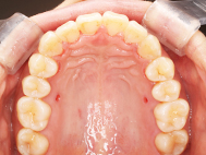
Before




After



治療詳細
右の前歯がねじれて前に出ている。
右上の前歯がねじれて前に出ているのを裏側部分矯正で治療したいとの事で来院されました。歯のねじれ(ローテーション)がかなり大きいので前歯部の部分治療ですが、前歯部のみのIPR(歯の側面を削り横幅を小さくする方法)では前歯が前にでてしまいますので、小臼歯まで行いましたこのIPRを行い前歯部を全体に後方に移動させるために、口蓋にマイクロインプラント(矯正用の固定元)を埋入して治療しました。
当院では、歯並び無料矯正相談(カウンセリング)を行っています。
「自分の歯の状態は治療した方がいいのか」「まだ治療をするか決まっていない」「費用を確認してから検討したい」などお考えの方もお気軽にお問い合わせください。
無料相談のお問い合わせはこちらからよろしくお願いいたします。
Tel 090-9983-5858
大阪市 歯科矯正 江坂 淀川区 西中島 淡路 新大阪 東三国 吹田 部分矯正 上顎のみ矯正 八重歯矯正
はしもと歯科クリニック 矯正歯科
〒532-0003
大阪府大阪市淀川区宮原1-16-28
TEL : 予約/問い合わせ 090-9983-5858
