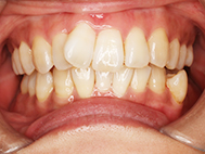
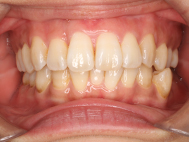
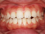
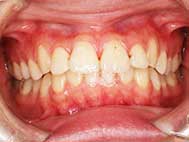
歯並びにコンプレックスを
抱えていませんか?
- 歯並びを気にして思い切り笑えない
- 出っ歯が気になる
- 歯のガタガタを綺麗にしたい
- 結婚式までに歯並びを綺麗にしたい
- 矯正装置の見た目が気になる
- 歯並びを気にせず思いっきり笑いたい
- 人前に出る仕事をしている
- 過去に矯正をしていたが戻ってきた
CONCEPT
信頼と確かな技術で
あなたの口元のお悩みを解決します
矯正歯科治療とは、歯を本来あるべき位置に移動させる治療ですので、すぐに結果が現れるものではなく、時間をかけて行うものになります。そのため、治療の経過に合わせて対応する経験と技術力が必要となります。
当院の院長は数多くの症例を扱っている名古屋の大山矯正歯科で、7年間勤務医として矯正の実務と勉強をしてきた豊富な経験があります。患者さんに安心で安全な治療を行うために、日々研鑽を重ねております。
初めての方へ
REASON
はしもと歯科クリニック矯正歯科の
矯正治療が選ばれる理由
患者様のニーズにあった
矯正治療メニューのご提案
当院では、患者様一人ひとりのニーズに合わせて、様々な矯正治療メニューをご提案しています。
歯並びの状態や治療目標、患者様のライフスタイルや個々の希望に合わせて、様々な治療オプションをご用意しております。
透明なマウスピース型矯正装置から気になる部分だけの部分矯正など、幅広い選択肢をご用意しております。
また、治療期間や費用などについても丁寧にご説明し、患者様が納得のいく治療プランを立てるお手伝いを致します。美しい笑顔と健康な歯並びを実現するために、私たちと一緒に治療方法を見つけましょう。
カウンセリングから治療まで
全て院長が担当
当院では、カウンセリングから治療まで、すべて院長が責任を持って担当いたします。院長は矯正治療の分野で豊富な経験と専門知識を有し、患者様の個々のニーズや希望に真摯に向き合います。丁寧なカウンセリングを通じて、患者様のご要望や治療プランについて詳細にお伺いし、患者様にとってより良い治療法をご提案いたします。そして、治療の始まりから終わりまで、院長が常に患者様の健康と美しい笑顔を最優先に考え、ご納得いただける治療を提供いたします。安心してご相談ください。
親知らず抜歯治療は
当院で治療が可能
矯正専門の歯科医院だと、虫歯の検査や、親知らずの抜歯は一般歯科で治療を受けてから、改めて通院する必要がありますが、当院では矯正治療、口腔外科を行っているため、矯正治療での抜歯、難しい下の親知らずの抜歯など、他の専門医院への紹介をしなくても一箇所ですべての治療が受けられます。
駅近で通いやすい立地
当院は大阪メトロ御堂筋線東三国駅、JR東海道本線東淀川駅、JR新大阪駅のいずれの駅からも近い立地に医院を構えており、アクセスしやすい歯科医院です。
TREATMENT その他診療案内
矯正治療後の口元を
より美しく
自宅でできるホームホワイトニング
当院では自宅で気軽にできるホームホワイトニングを行っています。ホワイトニングは歯を削らずに白く美しくできる治療です。
矯正治療後の仕上げに、ホワイトニングをしてみませんか?
抜歯が必要な方への
親知らず抜歯
当院では、矯正治療以外に親知らずの抜歯治療を行っております。
矯正治療で抜歯が必要になった際も、他院に行かずに当院で完結することが可能です。
また、痛みや腫れがある場合も抜歯が可能なので、お気軽にご相談ください。
ACCESS アクセス
〒532-0003
大阪府大阪市淀川区宮原1-16-28
最寄り駅
Osaka Metro御堂筋線「新大阪」駅
Osaka Metro御堂筋線「東三国」駅
JR東海道本線「東淀川」駅









