PART
部分矯正/プチ矯正/前歯矯正(MTM)
部分矯正/プチ矯正/
前歯矯正(MTM)
について

MTMは、「Minor Tooth Movment」の略で部分矯正、プチ矯正、小矯正とも呼ばれる矯正方法で歯の一部分に行う矯正治療です。歯に装置を付けて行う方法や、透明なマウスピースであるアライナー(インビザラインやトランスクリア)を用いる方法、矯正用インプラントで行う方法があります。治療期間は約3~6ヶ月ぐらいで行うことができます。
適応症例としては前歯が一本だけ飛び出ている場合や歯が倒れてそのままではブリッジや入れ歯が入らない、歯が折れてしまって抜歯しなけばならない等で部分矯正が適応されます。
当院の矯正治療の特徴として、矯正治療、口腔外科、歯科一般治療が併設されているため、矯正治療での抜歯、難しい下の親知らずの抜歯、虫歯の治療などが他の専門医院への紹介をしなくてもすべての治療が受けられます。
部分矯正/プチ矯正/
前歯矯正(MTM)
のメリット
1.気になる部分だけを治療することができる
全ての歯を動かす矯正治療では、奥歯の噛み合わせが変わってしまうことがあるので、噛み合わせに慣れる必要がありますが、部分矯正ではその必要はありません。また、部分矯正は一部の歯を動かすので、全ての歯を動かす矯正治療に比べて痛みが少なくなります。
2.治療期間が短い
部分矯正は、基本軽度から中程度のデコボコ(叢生)などを治す場合に用いられるため、歯を動かす量が少ないので、全ての歯を動かす全体的な矯正治療と比べて、治療期間を短くすることができます。
全体的な矯正治療は1〜3年かかるのに比べて、部分矯正は叢生が軽度であれば、半分以下の3ヶ月〜6ヶ月程度で治療を終えることができます。しかし、治療後に綺麗になった歯並びを維持するにはリテーナーと呼ばれる保定装置をつけて歯並びを安定させる必要があり、これは全体的な矯正治療後も同じです。
3.全体的な矯正より比較的費用が安い
部分矯正は動かす歯が少なく、治療期間も短いため費用を安くすることができます。全体的な矯正治療は70万円~80万円程度かかりますが、部分矯正は30万円~50万程度の費用で治療が行えます。
安いといっても、叢生の程度や使う装置によって費用は違ってくるので、治療を始める前にしっかりと先生と相談する必要があります。
セルフライゲーション
ブラケットを使用
当院では矯正装置にセルフライゲーションブラケットを使用しております。
セルフライゲーションブラケットは歯列の移動の際、歯にかかる力と摩擦を最小限に押さえる「ローフォース、ローフリクション」の技術で作られた矯正装置です。
従来の装置よりも早く、そして弱い力で効率よく矯正を行う事ができ、患者様の負担を軽減します。
審美性・耐久性にも
優れています。

矯正治療において、装置装用時に矯正治療を行っている事が一目にわかってしまう事を気にされる方は少なくありません。
当院ではデンツプライのクリアブラケットを使用しております。
従来の物とは違い、極めて目立ちにくい形になっております。
※ホワイトワイヤーは別途費用がかかります。
部分矯正/プチ矯正/
前歯矯正(MTM)の
矯正治療法例
引っ張り出す
歯を引っ張り出すことを挺出といいます。挺出には、装置を使って引っ張り出す方法と外科的手術を用いる方法と自然に歯の挺出を促す方法の3つがあります。
傾いた歯を真っ直ぐ起こす
倒れてきて噛めなくなった歯を元のように起こします。また、歯を起こすことによって、歯の掃除がし易くなるメリットもあり、歯周病の原因を取り除き易くなります。
回転させる
生えている向きがおかしい歯を正常な向きに回転させます。
歯を移動させる
歯の位置を動かします。すきっ歯の部分など、空いたスペースを詰めることが出来ます。
歯を埋める
飛び出ている歯を歯ぐきの中に埋めます。
裏側矯正とは

裏側矯正(舌側矯正、リンガルブラケット矯正)は、歯の裏側に装置をつけて行う矯正治療です。
歯の裏側に装置をつけて矯正する舌側矯正は、装置が表側から見えないため、審美性がありながら、年齢や症例を選ばない優れた矯正方法です。矯正治療と言っても今やその治療方法は様々ありますが、「舌側矯正」は歯の裏側に装置がつく治療方法で、目立ちにくく、虫歯など治療中のリスクが低いことも特徴です。
見えない矯正装置
従来の歯列矯正では歯の表側に装置をつけるため、装置が見えてしまい、見た目が気になるという問題がありました。裏側矯正なら、大きく口を開けなければ外からはほとんど見えません。
また、装置が裏側についているので、装置に食べ物が付いてしまっても他人からは気づかれにくく、食事の最中に必要以上の気を使う必要はありません。裏側矯正は、マウスピース矯正と同じく、目立つ矯正装置が嫌で矯正治療をためらっていた方、キャビンアテンダント・アナウンサーなど 職業的に目立つ矯正装置を禁止されていた方も安心して治療頂けます。
2Dリンガルブラケット

当院では、裏側の矯正装置に「2Dリンガルシステム」を使用しております。2Dリンガルブラケットとは、従来の裏側の装置よりも薄く小さい為、裏側矯正の問題点であった装置の違和感や話しにくさが軽減されています。
また、2Dリンガルブラケットは、通常より、歯の動きが速いことも大きな特徴です。このようなメリットがある反面、歯の複雑な移動が必要な難症例には向いていないため、軽度のケースが適応症となります。
インプラント矯正について

従来の矯正方法では、ワイヤーの力が患部以外の箇所にもかかってしまい、僅かながら影響を及ぼしてしまうという問題点がありました。
インプラント矯正とは歯茎にインプラントを埋め込み、それを支点として力をかけ、治療期間の短縮や、確実性を高める矯正方法です。
本来であれば抜歯の必要な症例であっても、不要となる可能性が高まります。
料金表
-
ブラケット矯正 検査料 ¥35,000
-
MTM (ミニ矯正) 前歯6本(上 or 下) ¥318,000
-
MTM (ミニ矯正) 前歯6本(上 or 下)抜歯症例 ¥370,000
-
MTM (ミニ矯正) 前歯6本(上下) ¥570,000
-
ブラケットフル矯正(上下) ¥770,000
-
ブラケットフル矯正(上又は下のみ) ¥400,000
-
片顎フル&片顎部分 ¥680,000
-
マウスピース&ブラケット併用 ¥980,000
-
管理料(調整料含む) ¥3,500
-
ホワイトワイヤー ¥1,700(※1本のお値段)
-
一時ブラケット除去 リテイナー ¥22,000
-
リンガルオプション (上顎前歯6本のみ) ¥50,000
-
リンガル管理料(調整料含む) ¥5,500
部分矯正(MTM)矯正の
症例紹介
-
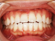
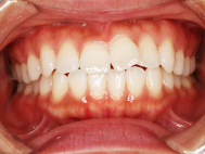
上の前歯ㇵの字 翼状捻転受け口

Before

After
部分矯正(MTM)矯正の年齢 35歳 性別 女性 症状 上下前歯叢生 治療内容 目立ちにくい裏側装置 部分リンガル 治療期間 8ヶ月 費用 620,000円 ※最新の治療費についてはご確認ください 備考
症例一覧へ
クイック矯正の症例紹介
-
前歯が出ている 前歯が長い クイックセラミック矯正

Before

After
クイック矯正の症例一覧へ症状 前歯が前に出ているのと歯の長さが長いのが気になる 治療内容 セラミッククラウンにて被せ物で歯並びを良くする方法 治療期間 1.5ヶ月 費用 14万円+消費税
