CASES
症例紹介
診療科目から探す:
お悩みから探す:
クイック矯正
-
クイック矯正
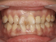
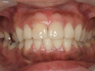
前歯が出ている 前歯が長い クイックセラミック矯正

Before

After
症状 前歯が前に出ているのと歯の長さが長いのが気になる 治療内容 セラミッククラウンにて被せ物で歯並びを良くする方法 治療期間 1.5ヶ月 費用 14万円+消費税 -
クイック矯正
前歯のねじれが気になる クイック矯正 セラミッククラウン被せ...
症状 前歯のねじれが気になる 治療内容 クイック矯正 セラミッククラウン 備考 結婚式を一ヶ月後に控えていて、急いでほしいというご要望でご来院いただきました。オールセラミック(e-max)で治療し、前歯が入って鏡をお見せした時、綺麗になりすごくお喜び頂きました。 -
クイック矯正
上の前歯の前突(出っ歯)クイック矯正 セラミッククラウン被せ...
症状 上の前歯の前突(出っ歯)が気になる 治療内容 クイック矯正 セラミッククラウン 備考 上の前歯の前突(出っ歯)が気になるとのことで来院されました、左右の歯をセラミッククラウンをかぶせて前歯を内側に入れました。写真を撮るときに歯並びが気になっていたとのことですが、満足していただいて良かったです。 -
エンジェルクラウン e-max・セラミッククラウンクイック矯正
前歯が出ているのが気になる エンジェルクラウンの症例⑦
症状 前歯が出ているのが気になる 治療内容 前歯矯正 エンジェルクラウン 備考 前歯が出ているのが気になるとのことで来院されました。上のみで前突状態を改善してほしいとの希望で、前歯4本をエンジェルクラウンにて治療しました。 -
エンジェルクラウン e-max・セラミッククラウンクイック矯正
歯のねじれが気になって歯並びを直したい エンジェルクラウンの...
症状 歯のねじれが気になって歯並びを直したい(兵庫県三田市 女性) 治療内容 エンジェルクラウン 備考 セラミックの被せ物で 歯並びを直したいと近隣の歯科医院にもご相談の上、当院にご来院いただきました。比較的安価でのセラミック治療を提案し、仕上がりにご満足頂きました。 -
エンジェルクラウン e-max・セラミッククラウンクイック矯正
前歯が出ているのが気になる エンジェルクラウンの症例⑩
症状 前歯が出ているのが気になる(京都市 女性) 治療内容 エンジェルクラウン 備考 以前より前歯が出ているのが気になっていたとのことで来院されました。矯正をするのには時間がないとのことで、クラウン法で歯並び整えました。 -
エンジェルクラウン e-max・セラミッククラウンクイック矯正
上の前歯の前突(出っ歯)が前気になるとのことで来院されました...
症状 上の前歯の前突(出っ歯)が前気になるとのことで来院されました 治療内容 左右の歯をセラミッククラウンをかぶせて前歯を内側に入れました 治療期間 1.5ヶ月 通院回数7回 費用 210,000円 備考 メリット:寝ている時に口が閉じれるようになりおくちの乾燥がなくなり虫歯予防、歯槽膿漏予防、内側に入っている歯が無くなりブラッシングが出来るようになり歯を見せて大きく笑えるので前向きになる。奥歯もしっかり噛めるようになり咀嚼効率が上がり胃の消化も良くなる。デメリット:保険治療でないので費用がかかる。
