
Before

After




Before




After




| 症状 | 上顎前歯部叢生 |
|---|---|
| 治療内容 | ダイレクトボンディング ブラケット |
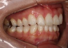
上の前歯がデコボコが気になるとのことで治療しました。
上の前歯部のみの治療を希望されたので部分矯正で治療を行いました。左の前歯が1本足りないので叢生がかるく前歯が出っ歯にならないように歯の間を少し削り並べるスペースを作り治療しました。
歯の前に装置を付けるタイプの治療を希望されたのでワイヤーが金属では気になるとの事だったので審美性の良いホワイトワイヤーで行いました。
もし左側の前歯が先天欠如歯でなければ犬歯が外に飛び出る八重歯の状態になっていたのではないかと思います、その様な状態ですと部分矯正では難しく短期間での治療はできなかったのではないかと思います。
実はこの患者様は1年ほど前に矯正の相談に来院されたのですが治療をしたら前歯が出っ歯になるのではないかと悩んでおられましたが意お決して治療されました、6か月で歯並びが綺麗になりました、毎月治療後写真を診てもらいみるみる歯並びが良くなっていくと感激されました。こんなに早く歯並びが良くなるならもっと早くすれば、とのことでした。
東淀川 矯正歯科 インビザライン抜歯症例 インプラント矯正 口腔外科 親知らず抜歯早い はしもと歯科クリニック矯正歯科
