
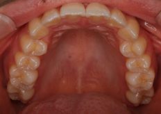
Before

After





Before




After
| 症状 | 上顎前歯部叢生 |
|---|---|
| 治療内容 | インビザライン アライナー |
| 治療期間 | 10か月 |
| 費用 | 509,000円 |
上の前歯が曲がっている前に出ているのが気になるとのことで来院されました。
今回の矯正治療は上の前歯のみと審美性に考慮して歯の表に装置を付けるのではなくマウスピースで行ってほしいとのことでの依頼です。
前歯の叢生もさほどひどくないのでIPR(歯と歯の間を少し削る)を行いとても良い感じの仕上がりでとても満足していただけました。
マウスピースの矯正は食事する時と歯磨きする時以外は装着していただければかなりいい感じに歯並びが仕上がると思います
大阪府 茨木市 28歳 女性
当院では、歯並び無料矯正相談(カウンセリング)を行っています。
「自分の歯の状態は治療した方がいいのか」「まだ治療をするか決まっていない」「費用を確認してから検討したい」などお考えの方もお気軽にお問い合わせください。
無料相談のお問い合わせはこちらからよろしくお願いいたします。
Tel 090-9983-5858
東淀川 淀川区 矯正歯科 インビザライン抜歯症例 前歯部分矯正 インプラント矯正 はしもと歯科クリニック矯正歯科
はしもと歯科クリニック 矯正歯科
〒532-0003
大阪府大阪市淀川区宮原1-16-28
TEL : 予約/問い合わせ 090-9983-5858 2339
