
Before

After




Before




After
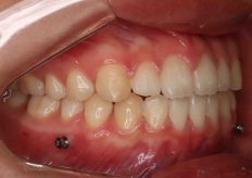
| 症状 | 上と下の前歯に隙間があるのが気になる |
|---|---|
| 治療内容 | 歯の表面に装置を付ける方法ワイヤーを用いて隙間を閉じました。 |
| 治療期間 | 12か月 |
| 費用 | 570,000円 |
上と下の前歯の隙間が気になることで来院、歯の表面に付ける装置(ワイヤー)にて前歯の隙間を閉じました。
当院では、歯並び無料矯正相談(カウンセリング)を行っています。
「自分の歯の状態は治療した方がいいのか」「まだ治療をするか決まっていない」「費用を確認してから検討したい」などお考えの方もお気軽にお問い合わせください。
無料相談のお問い合わせはこちらからよろしくお願いいたします。
Tel 090-9983-5858
東淀川 矯正歯科 インビザライン抜歯症例 インプラント矯正 口腔外科 親知らず抜歯早い はしもと歯科クリニック矯正歯科
