
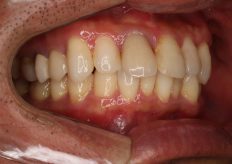
Before

After





Before





After
| 症状 | 上下前歯部叢生 |
|---|---|
| 治療内容 | インビザライン アライナー矯正 |
| 治療期間 | 16ヶ月 |
上の前歯 下の前歯のデコボコを治したい
今回はインビザライン(アライナー)にて上下前歯部の歯並びの治療を希望されました。
歯をできるだけ前に出さずに治療する為に歯と歯の間を少しずつ削るIPRを臼歯(奥歯)まで行って歯並びは綺麗になりました。
アライナーの矯正では歯とアライナーのフィッティングが良好な場合最終枚数まで終わった後に再評価を行い、動きが悪い歯や、
歯を移動させた時に残った隙間を閉じることを行うためにもう一度口腔スキャナーでスキャンを行い治療を進めていきます。
今回のアライナーの枚数は31枚で光加速装置(PBM)は使用していません治療期間は16ヶ月でした、1日20時間装着が必要となりますが綺麗に仕上がりました。
はしもと歯科クリニック矯正歯科
〒532-0003
大阪府大阪市淀川区宮原1-16-28
パルムハウス新大阪103
TEL : 予約専用 090-9983-5858
診療時間
9:00~12:00 / 15:00~17:00
休診日
木曜日・日曜日・ 祝日
