
Before

After





Before





After



前歯すきっぱ(正中離開)は部分矯正で治療できますかとの事で治療依頼がありました。
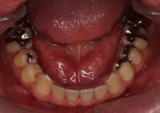
上下の前歯のかみ合わせを診てみますと下の前歯が上の前歯の裏側に当たっている状態でした、
このままでは上の隙間は閉じる事ができないので下の前歯に歯と歯の間にすこし隙間があるので、
この隙間を閉鎖をすることと上の犬歯の後ろに隙間を移動させる事で前方からの審美を良くしました、
治療後の前から見た写真を見ても犬歯の後ろに隙間があるように見えません、部分矯正で満足な結果を得られました。
今回の症例ではすべてのスペ-スを閉じてしまうと嚙み合わせが逆になり受け口になってしまいますこのような場合は妥協案を提案をして治療をします。
江坂 東淀川 矯正歯科 インビザライン インプラント矯正 口腔外科 親知らず抜歯 はしもと歯科クリニック矯正歯科
年齢 32歳
性別 男性
症状 透明で目立たない装置
治療内容 上顎正中離開
治療期間 8ヶ月
