
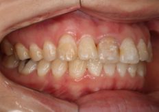
Before

After





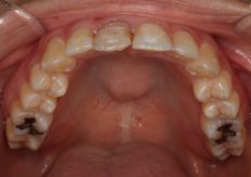
Before





After




右の前歯が前に出ているのが気になるとの事で来院されました。32
上の前歯だけで治療したいとのことが希望と転職するのでそれまでに出来るだけ早く終わらせたいとのことでした
検査ををすると下の前歯が少し前に出ているので上の前歯だけではこの歯に当たって綺麗に並ばない事が判り下の前歯も治療することを提案し上下前歯部の治療を行うことにしました。
期間をできるだけ短くとのことですので検査後2週間から治療が始めれる歯の表面にブラケット装置をを付けるダイレクトボンデングにて行いました、
並べた歯が前に出ないように歯と歯の間を少しずつ削るIPRを行い治療を行いました、期間は少しかかりましたが綺麗な歯並びになり満足いただけました。
インビザライン抜歯症例 インプラント矯正歯科 親知らず抜歯早い はしもと歯科クリニック矯正歯科
東淀川 矯正歯科 東三国 矯正歯科 宮原 口腔外科 東三国 口腔外科 東三国 親知らず抜歯 新大阪 口腔外科 新大阪 親知らず 抜歯 東淀川 口腔外科 東淀川 親知らず抜歯
