
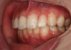
Before

After




Before



After




前から見た時右の前歯が重なっている
前歯が2本飛び出ているのが笑った時に以前より気になっているとの事です。
治療費を抑えたいとの事で前歯のみの部分矯正を提案しました。
装置が歯の表側に付きワイヤを使うのでオプションのホワイトワイヤを使いました。
歯と歯の間を削る(IPR)を行い前方に出るのを抑え綺麗なアーチにできました。
当院では、歯並び無料矯正相談(カウンセリング)を行っています。
「自分の歯の状態は治療した方がいいのか」「まだ治療をするか決まっていない」「費用を確認してから検討したい」などお考えの方もお気軽にお問い合わせください。
無料相談のお問い合わせはこちらからよろしくお願いいたします。
Tel 090-9983-5858
東淀川 矯正歯科 インビザライン抜歯症例 インプラント矯正 口腔外科 親知らず抜歯早い はしもと歯科クリニック矯正歯科
年齢 25歳
性別 女性
症状 目立たない透明な装置
治療内容 上顎叢生
治療期間 5か月
