予約直通
090-9983-5858
Web予約
〒532-0003 大阪府大阪市淀川区宮原1-16-28
ご予約・お問い合わせはこちら
090-9983-5858
Web予約
診療時間
月
火
水
木
金
土
日
祝
9:00〜12:00
●
●
●
/
●
●
/
/
15:00〜18:00
●
●
●
/
●
●
/
/
ホーム
初めての方へ
無料矯正相談(カウンセリング)
矯正歯科の選び方
症例紹介
よくあるご相談
医院案内・アクセス
お知らせ
コラム
当院の備品【オーダーメイド制作】
診療案内
歯並び別お悩み相談
矯正歯科
部分矯正・プチ矯正・
前歯矯正
マウスピース矯正
親知らず・口腔外科
TEL(予約専用)
Web予約
アクセス
TOP
menu
初めての方へ
無料矯正相談(カウンセリング)
矯正歯科の選び方
症例紹介
よくあるご相談
医院案内・アクセス
お知らせ
コラム
当院の備品【オーダーメイド制作】
歯並び別お悩み相談
矯正歯科
部分矯正・プチ矯正・前歯矯正
マウスピース矯正
審美治療・ホワイトニング
親知らず・口腔外科
CASES
症例紹介
HOME
症例紹介
親知らず・口腔外科 症例
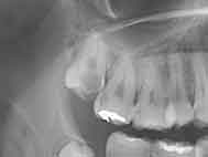
右上 親知らず(淀川区 28才 男性)
カテゴリー
嚙み合わせ深い
部分矯正リンガル
マウスピース矯正(インビザライン・トランスクリア)
部分矯正(MTM)矯正 症例
すきっ歯
出っ歯
歯がガタガタ・でこぼこ
前歯で噛めない
受け口・しゃくれ
親知らず・口腔外科 症例
ミニマルインターベンション 症例
歯のマニキュア(ビューティーコート)症例
ホワイトニング 症例
インプラント・入れ歯 症例
エンジェルクラウン e-max・セラミッククラウン 症例
クイック矯正
2017.03.17
親知らず・口腔外科 症例
右上 親知らず(淀川区 28才 男性)
症状
右上 親知らず(淀川区 28才 男性)
治療内容
親知らずの抜歯
東淀川 矯正歯科 インビザライン抜歯症例 インプラント矯正 口腔外科 親知らず抜歯早い はしもと歯科クリニック矯正歯科
ALL