
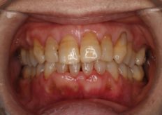
Before

After
| 年齢 | 60歳 |
|---|---|
| 性別 | 女性 |
| 症状 | 下顎前歯部叢生 |
| 治療内容 | 透明で目立たない矯正 |
| 治療期間 | 6か月 |
下の歯並びが徐々に悪くなってきているような気がする60歳ですが矯正治療は可能でしょうかとのご相談です。
例えば若い年齢では骨折は治りますが年を取ると治らないのでしょうか、人それぞれ時間はかかるかもしれませんが治ります
これと同様に歯並びが治るメカニズムは移動側の歯の周りの骨が吸収して後ろ側に骨の添加が起こることによって移動していきます、
年齢や個人差によってこのスピ-ドは変わりますが歯並びは治ります。
今回の症例は歯の表面に装置(ブラケット)を直接付けるダイレクトボンディングにより行いました。
部分矯正ではかみ合わせの深さまでは治療できませんんが、1か月2か月3か月と時間がたつににつれ良くなって来ました。
毎回来院された時に状態の写真を見てもらい最後に装置を外して見てもらうと歯並びが綺麗になった事に喜ばれていました。
当院では、歯並び無料矯正相談(カウンセリング)を行っています。
「自分の歯の状態は治療した方がいいのか」「まだ治療をするか決まっていない」「費用を確認してから検討したい」などお考えの方もお気軽にお問い合わせください。
無料相談のお問い合わせはこちらからよろしくお願いいたします。
Tel 090-9983-5858
東淀川 矯正歯科 インビザライン抜歯症例 インプラント矯正 口腔外科 親知らず抜歯早い はしもと歯科クリニック矯正歯科
