| 症状 | 前歯のねじれが気になるため、歯並びを直したい |
|---|---|
| 治療内容 | MTM部分矯正 オールセラミッククラウン(e-max) |
| 治療期間 | 1.5ヶ月 通院回数6回 |
| 費用 | 150,000円 |
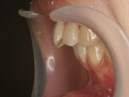
| 備考 | 歯のねじれが気になって歯並びを直したいと来院されました。オールセラミッククラウン(e-max)の被せ物で歯並びを整えました。 |
歯のねじれが気になって歯並びを直したいと来院されました。オールセラミッククラウン(e-max)の被せ物で歯並びを整えました。
東淀川 矯正歯科 インビザライン抜歯症例 インプラント矯正 口腔外科 親知らず抜歯早い はしもと歯科クリニック矯正歯科
