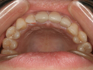
| 症状 | 前歯のねじれが気になる |
|---|---|
| 治療内容 | 前歯矯正 オールセラミックス(e-max) |
| 治療期間 | 1ヶ月 通院回数6回 |
| 費用 | 150,000円 |
東淀川 矯正歯科 インビザライン抜歯症例 インプラント矯正 口腔外科 親知らず抜歯早い はしもと歯科クリニック矯正歯科
症例紹介
| 症状 | 前歯のねじれが気になる |
|---|---|
| 治療内容 | 前歯矯正 オールセラミックス(e-max) |
| 治療期間 | 1ヶ月 通院回数6回 |
| 費用 | 150,000円 |
東淀川 矯正歯科 インビザライン抜歯症例 インプラント矯正 口腔外科 親知らず抜歯早い はしもと歯科クリニック矯正歯科