CASES
症例紹介
診療科目から探す:
お悩みから探す:
マウスピース矯正(インビザライン・トランスクリア)
-
マウスピース矯正(インビザライン・トランスクリア)歯がガタガタ・でこぼこ
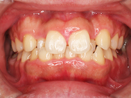
前歯ガチャ歯

Before

After
年齢 27歳 性別 男性 症状 上顎前歯部叢生 治療内容 インビザライン治療 マウスピース アライナ-矯正 治療期間 24ヶ月 費用 853,000円 ※最新の治療費についてはご確認ください 備考 -
マウスピース矯正(インビザライン・トランスクリア)歯がガタガタ・でこぼこ
ブライダル インビザライン アライナ- マウスピ-スで八重歯...

Before

After
年齢 38歳 性別 女性 症状 前歯が乱ぐい(凸凹) 治療内容 インビザライン アライナ-矯正 治療期間 13か月 -
マウスピース矯正(インビザライン・トランスクリア)
両脇上の前歯が内側に入っている㊱

Before

After
症状 上下顎前歯部叢生 治療内容 インビザライン アライナー矯正 治療期間 8ヶ月 22枚 -
マウスピース矯正(インビザライン・トランスクリア)
上の前歯 下の前歯のデコボコを治したい

Before

After
症状 上下前歯部叢生 治療内容 インビザライン アライナー矯正 治療期間 16ヶ月












