〒532-0003 大阪府大阪市淀川区宮原1-16-28
ご予約・お問い合わせはこちら
ホーム
診療案内
症例紹介
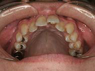
エンジェルクラウン e-max・セラミッククラウン 症例クイック矯正
東淀川 矯正歯科 インビザライン抜歯症例 インプラント矯正 口腔外科 親知らず抜歯早い はしもと歯科クリニック矯正歯科