インプラント・入れ歯 症例
-
インプラント・入れ歯 症例
ホワイトクラスプ ノンクラスプデンチャー

Before

After
症状 入れ歯を直したい(淀川区 29歳 男性) 治療内容 ホワイトクラスプ ノンクラスプデンチャー -
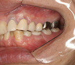
インプラント・入れ歯 症例
前歯の破切矯正の挺出でも治療できない 前歯インプラントの症例

Before

After
症状 前歯の破切矯正の挺出でも治療できない抜歯後即時インプラント治療 治療内容 インプラント 備考 前歯の破切で来院されました保存不可能な為抜歯いたしました。隣の歯を削りたくないとのことでインプラントにしました。
