〒532-0003 大阪府大阪市淀川区宮原1-16-28
ご予約・お問い合わせはこちら
ホーム
診療案内
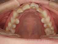
症例紹介
クイック矯正
新大阪 東三国 江坂 部分矯正 前歯矯正 マウスピース矯正 はしもと歯科クリニック矯正歯