
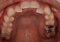
Before

After





Before





After
| 症状 | 上下顎前歯部叢生 |
|---|---|
| 治療内容 | インビザライン アライナー矯正 |
| 治療期間 | 8ヶ月 22枚 |
両脇上の前歯が内側に入っているのを治したいとのことで来院されました。
治療中の装置が歯の表面に付けるのは接客業なため禁止されているとのことで今回はアライナーによる治療を選択されました
見た目を気遣うお仕事をされている方や、キャビンアテンダント・アナウンサー・ホテル関係など職業によって表側にブラケットを付けた矯正が禁止されている方々でもインビザラインなら矯正治療が行えます。
上の前歯が後ろに引っ込んでいるせいで下の前歯もデコボコになってしまっています
前歯の位置が今より前に出ないように前歯6本歯と歯の間を少しずつ削り(IPR)矯正を行いました。
アライナーを指定の1日20時間の装着2週間毎の交換を行い綺麗な歯列になりました。
コロナ禍でマスクをしていますが夏の時期時はマスクの中が蒸れて肌荒れを起こしれしまいます口元が気になりマスクをはず事ができませんでした。
歯並びが綺麗になったのでもうマスクで隠す必要がなくなりよかったとのことです。
東淀川 矯正歯科 インビザライン抜歯症例 インプラント矯正 口腔外科 親知らず抜歯早い はしもと歯科クリニック矯正歯科
はしもと歯科クリニック
〒532-0003
大阪府大阪市淀川区宮原1-16-28
パルムハウス新大阪103
TEL : 予約専用 090-9983-5858
TEL:06-6350-5858
診療時間
9:00~12:00 / 15:00~18:00
休診日
木曜日・日曜日・ 祝日
