
Before

After





Before





After
| 症状 | 上下前歯部叢生 |
|---|---|
| 治療内容 | ダイレクトボンディング法 |
| 治療期間 | 6ヶ月 |
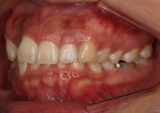
右上の前歯が奥に引っ込んでいる 下の前歯がデコボコが気になるとのことで来院されました。
結婚式があるので出来る限り早く始めてほしとのことで今回は歯に直接装置を付ける(ダイレクトボンディング)方法で矯正治療を行いました。

右上の歯が後ろに引っ込んでいる為に下の前歯が前に出ていています、かみ合わせが逆になっているのでこのままでは上の歯を外側に出そうとしても
下の歯に当たり前に出にくいので奥歯の噛む面(咬合面)に歯を治療する時に用いるレジンを付けて前歯歯が最後まで閉じられないようにして上の歯が前方に出るのを妨げるのを防ぎ治療を行いました。治療期間は6ヶ月で結婚式の前撮りに何とか間に合いました。
東淀川 矯正歯科 インビザライン抜歯症例 インプラント矯正 口腔外科 親知らず抜歯早い はしもと歯科クリニック矯正歯科
