
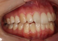
Before

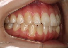
After




Before




After

ねじれた歯がアーチ内におさまるように歯と歯の間を削って隙間を作り痛みが出ないように細いウィイヤーを使っています

ワイヤーが少しし太くなりねじれが徐々に治ってきています

もうほぼねじれがなくなりました、これから前から見た時の調整をしていきます

咬合面から見た様子はほぼよくなりました,前から見た左右の調整をしています。

前から見た時の前歯の段差がなくなりました
| 年齢 | 30歳 |
|---|---|
| 性別 | 女性 |
| 症状 | 上顎前歯部叢生 |
| 治療内容 | 透明で目立たない矯正 |
| 治療期間 | 6ヶ月 |
右上の前歯がねじれている
10月に結婚式があるのでそれまでに歯並びを治したいとの事で来院されました。
治療をはじめられたのは3月で当医院では検査後最短で2週間後に装置が付き治療が始められるのでギリギリ間に合うかどうかです、もしもしもの時は一時ブラケットを外してマウスピースで歯並びの状態を保っていただき結婚式が終わってから装置を装着できるプランで治療を進めました、歯の動きがスム-ズにいき10月にまに間に合いました。
当医院ではこういった時間が限ら出たケースにも柔軟な対応ができますので日にちが無くあきらめかけている方も一度ご相談ください。
当院では、歯並び無料矯正相談(カウンセリング)を行っています。
「自分の歯の状態は治療した方がいいのか」「まだ治療をするか決まっていない」「費用を確認してから検討したい」などお考えの方もお気軽にお問い合わせください。
無料相談のお問い合わせはこちらからよろしくお願いいたします。
Tel 090-9983-5858
東淀川 矯正歯科 はしもと歯科クリニック矯正歯科
35
