
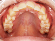
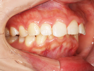
Before

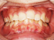
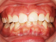
After
| 年齢 | 27歳 |
|---|---|
| 性別 | 女性 |
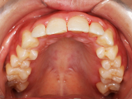
| 症状 | 上顎前歯叢生 |
| 治療内容 | 透明で目立たない矯正装置 |
| 治療期間 | 8ヶ月 |
| 費用 | |
| 備考 |




Before




After

1カ月

3カ月

6カ月
治療詳細
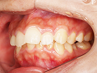
前歯が突き出ている
上の前歯が突き出ているのが気になるので、一部分だけの矯正治療は可能でしょうかとの事で来院されました。
前歯が全体に下の歯より前に出ているので最大に後ろに引っ込める為に、IPR(歯と歯の間を削る)を行い矯正をしているのが目立ちにくい白いワイヤーを用いて治療しました。
当院では、歯並び無料矯正相談(カウンセリング)を行っています。
「自分の歯の状態は治療した方がいいのか」「まだ治療をするか決まっていない」「費用を確認してから検討したい」などお考えの方もお気軽にお問い合わせください。
無料相談のお問い合わせはこちらからよろしくお願いいたします。
Tel 090-9983-5858
大阪市 歯科矯正 江坂 淀川区 西中島 淡路 新大阪 東三国 吹田 部分矯正 上顎のみ矯正 八重歯矯正
はしもと歯科クリニック 矯正歯科
〒532-0003
大阪府大阪市淀川区宮原1-16-28
パルムハウス新大阪1F
TEL : 予約/問い合わせ 090-9983-5858
