
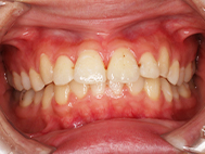
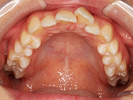
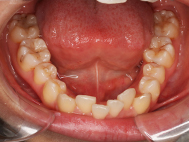
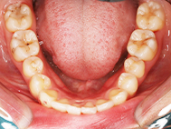
Before

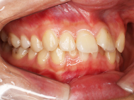
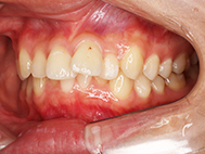
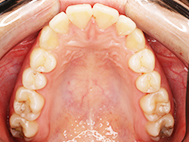
After
| 年齢 | 22歳 |
|---|---|
| 性別 | 女性 |
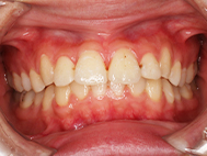
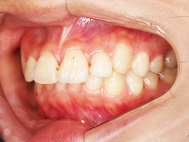
| 症状 | 上下前歯叢生 |
| 治療内容 | 透明で目立たない装置 |
| 治療期間 | 6ヶ月 |
| 費用 | |
| 備考 |





Before





After
治療詳細
上下前歯のガタガタが気になる
出来れば部分治療で行いたいとの事で依頼されました。
特に左上前歯が前に飛び出ているのが気になるとの事です、バイト(上下のかみ合わせ)が深く、上顎だけの治療では、うまく歯が並ばないので下顎も治療を進めました、上下の歯の間を削るIPRを行い綺麗な歯並びになりました。
当院では、歯並び無料矯正相談(カウンセリング)を行っています。
「自分の歯の状態は治療した方がいいのか」「まだ治療をするか決まっていない」「費用を確認してから検討したい」などお考えの方もお気軽にお問い合わせください。
無料相談のお問い合わせはこちらからよろしくお願いいたします。
Tel 090-9983-5858
大阪市 歯科矯正 江坂 淀川区 西中島 淡路 新大阪 東三国 吹田 部分矯正 上顎のみ矯正 八重歯矯正
はしもと歯科クリニック 矯正歯科
〒532-0003
大阪府大阪市淀川区宮原1-16-28
TEL : 予約/問い合わせ 090-9983-5858
