
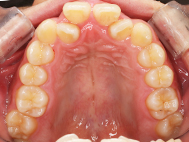
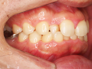
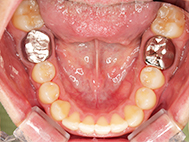
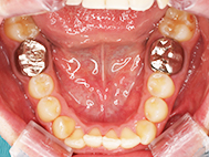
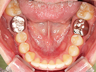
Before

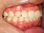
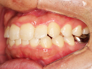
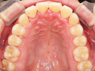
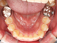
After
| 年齢 | 27歳 |
|---|---|
| 性別 | 男性 |
| 症状 | 上顎前歯部叢生 |
| 治療内容 | インビザライン治療 マウスピース アライナ-矯正 |
| 治療期間 | 24ヶ月 |
| 費用 | 853000円 |
| 備考 |





Before





After






治療詳細
上の前歯がハの字隣の歯が引っ込んでいる
前歯のガタガタが気になるとの事で来院されました。
装着が目立ちたくないとの事でアライナ-での矯正を希望されました、歯の間を削り少し歯の幅をスリムにして綺麗なアーチに並びました。
当院では、歯並び無料矯正相談(カウンセリング)を行っています。
「自分の歯の状態は治療した方がいいのか」「まだ治療をするか決まっていない」「費用を確認してから検討したい」などお考えの方もお気軽にお問い合わせください。
無料相談のお問い合わせはこちらからよろしくお願いいたします。
Tel 090-9983-5858
大阪市 歯科矯正 江坂 淀川区 西中島 淡路 新大阪 東三国 吹田 部分矯正 上顎のみ矯正 八重歯矯正
はしもと歯科クリニック 矯正歯科
〒532-0003
大阪府大阪市淀川区宮原1-16-28
TEL : 予約/問い合わせ 090-9983-5858
