
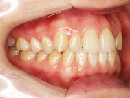
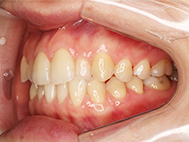
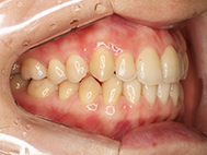
Before

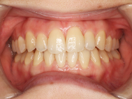
After
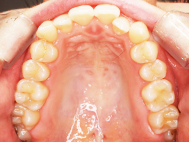
| 年齢 | 32歳 |
|---|---|
| 性別 | 男性 |
| 症状 | 上顎前歯叢生 |
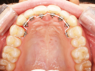
| 治療内容 | 前から装置が見えない裏側矯正 |
| 治療期間 | 10ヶ月 |
| 費用 | 453,000円 治療当時の価格です。 |
| 備考 |




Before




After

歯を並べるためのスペース
を作る為歯の隣接面を削る
IPRを行い、柔らかい形状
記憶合金のワイヤーが入り
ました。

出ていた二本の前歯が内側
に綺麗な歯並びになってき
ました。

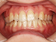
治療詳細
左の前歯が内側に倒れている
右側の歯も内側に少し内側にあるのでこれも治療しました。
実は横の歯が内側にあるのではなく、前歯が2本出ているのでした。前歯を内側に入れるスペースを作るために歯の側面歯を削るIPRを行い、綺麗な歯並びになるように治療しました。
当院では、歯並び無料矯正相談(カウンセリング)を行っています。
「自分の歯の状態は治療した方がいいのか」「まだ治療をするか決まっていない」「費用を確認してから検討したい」などお考えの方もお気軽にお問い合わせください。
無料相談のお問い合わせはこちらからよろしくお願いいたします。
Tel 090-9983-5858
大阪市 歯科矯正 江坂 淀川区 西中島 淡路 新大阪 東三国 吹田 部分矯正 上顎のみ矯正 八重歯矯正
はしもと歯科クリニック 矯正歯科
〒532-0003
大阪府大阪市淀川区宮原1-16-28
TEL : 予約/問い合わせ 090-9983-5858
