
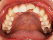
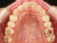
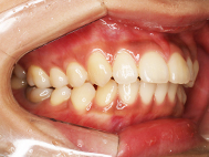
Before

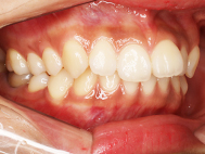
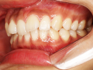
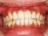
After
| 年齢 | 24歳 |
|---|---|
| 性別 | 女性 |
| 症状 | 左の前歯が前に出ている |
| 治療内容 | 歯の裏側に付ける装置 |
| 治療期間 | 6ヶ月 |
| 費用 | 368,000円 |
| 備考 |




Before




After

0カ月

3カ月
歯と歯の間を削るIPRを行い、歯の裏側に装置を付けています。最初の状態からは、だいぶ前歯が内側に入ってきています。

6カ月
ねじれていた歯が綺麗に並びました。最後の調整で歯と歯の間を詰める為、歯の装置の上からゴムを掛けています。
治療詳細
前歯のねじれを部分矯正で治療したい
今回の症例は左上の前歯1本がねじれているのが気になるとの事で来院されました。
仕事の都合で、治療してることがわからないように歯の裏に装置を付けるリンガル治療を希望するとの事でした。
歯に装置を付け、歯が並んでも前に出ないように歯と歯の間を削るIPRを行い、綺麗なアーチ(歯列)になりました
。
当院では、歯並び無料矯正相談(カウンセリング)を行っています。
「自分の歯の状態は治療した方がいいのか」「まだ治療をするか決まっていない」「費用を確認してから検討したい」などお考えの方もお気軽にお問い合わせください。
無料相談のお問い合わせはこちらからよろしくお願いいたします。
Tel 090-9983-5858
大阪市 歯科矯正 江坂 淀川区 西中島 淡路 新大阪 東三国 吹田 部分矯正 上顎のみ矯正 八重歯矯正
はしもと歯科クリニック 矯正歯科
〒532-0003
大阪府大阪市淀川区宮原1-16-28
TEL : 予約/問い合わせ 090-9983-5858
