
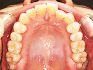
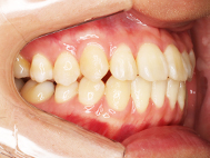
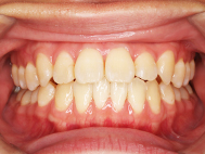
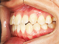
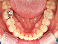
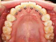
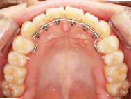
Before

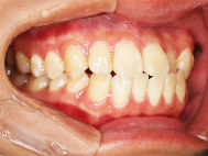
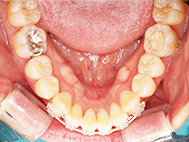
After
| 年齢 | 39歳 |
|---|---|
| 性別 | 女性 |
| 症状 | 上下前歯叢生 |
| 治療内容 | 上顎部分裏側矯正 下顎は目立ちにくい透明な装置 |
| 治療期間 | 11ヶ月 |
| 費用 | 620,000円 ※最新の治療費についてはご確認ください |
| 備考 |





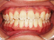
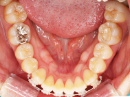
Before





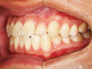
After






治療詳細
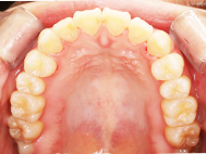
左上の前歯内側に入っている下の前歯ガチャ歯
左上前歯が下の歯の内側に入っているのが気になるとの事で来院されました。目立たない矯正治療を希望しているとのこでした。 上顎の装置は、歯の裏側(リンガル装置)で下顎は表側で矯正治療を行いました。口を閉じた時、上の前歯が内側に入っている為に下の歯を前に押し出している状態でした。その為、上の歯を前に出すだけではその歯が下とのかみ合わせの関係で、前に飛び出すような治療となってしまいます。 今回の症例ではシュミレーションを見て頂き、下の歯も治療し、内側へ下げることによって上の歯も飛びだすことなく、キレイにおさまることを説明し、上下一緒に矯正することをお勧めさせて頂きました。
当院では、歯並び無料矯正相談(カウンセリング)を行っています。
「自分の歯の状態は治療した方がいいのか」「まだ治療をするか決まっていない」「費用を確認してから検討したい」などお考えの方もお気軽にお問い合わせください。
無料相談のお問い合わせはこちらからよろしくお願いいたします。
Tel 090-9983-5858
大阪市 歯科矯正 江坂 淀川区 西中島 淡路 新大阪 東三国 吹田 部分矯正 上顎のみ矯正 八重歯矯正
はしもと歯科クリニック 矯正歯科
〒532-0003
大阪府大阪市淀川区宮原1-16-28
TEL : 予約/問い合わせ 090-9983-5858
