
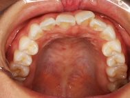
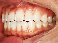
Before

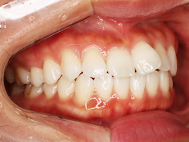
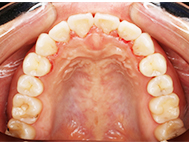
After
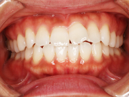
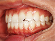
| 年齢 | 27歳 |
|---|---|
| 性別 | 女性 |
| 症状 | 上顎前歯捻転 |
| 治療内容 | 歯の裏側に貼り付ける装置 |
| 治療期間 | 6ヶ月 |
| 費用 | |
| 備考 |





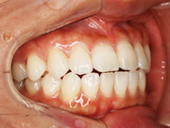
Before




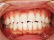
After



治療詳細
左上前歯の歯がねじれている
上の前歯がねじれているのを出来れば部分治療で、治療しているのが目立たないように、歯の裏側の装置で行ってほしとのことでした。歯と歯の間を削って歯を並べるスペースを作り、歯列を綺麗にしました。
当院では、歯並び無料矯正相談(カウンセリング)を行っています。
「自分の歯の状態は治療した方がいいのか」「まだ治療をするか決まっていない」「費用を確認してから検討したい」などお考えの方もお気軽にお問い合わせください。
無料相談のお問い合わせはこちらからよろしくお願いいたします。
Tel 090-9983-5858
大阪市 歯科矯正 江坂 淀川区 西中島 淡路 新大阪 東三国 吹田 部分矯正 上顎のみ矯正 八重歯矯正
はしもと歯科クリニック 矯正歯科
〒532-0003
大阪府大阪市淀川区宮原1-16-28
TEL : 予約/問い合わせ 090-9983-5858
