嚙み合わせ深い
-
嚙み合わせ深い部分矯正(MTM)矯正 症例出っ歯歯がガタガタ・でこぼこ
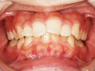
上の前歯がねじれているのが気になる

Before

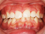
After
年齢 27歳 性別 女性 症状 上顎前歯叢生 治療内容 透明で目立たない矯正装置 治療期間 8ヶ月 費用 備考
〒532-0003 大阪府大阪市淀川区宮原1-16-28
ご予約・お問い合わせはこちら
症例紹介
嚙み合わせ深い部分矯正(MTM)矯正 症例出っ歯歯がガタガタ・でこぼこ

Before

After
| 年齢 | 27歳 |
|---|---|
| 性別 | 女性 |
| 症状 | 上顎前歯叢生 |
| 治療内容 | 透明で目立たない矯正装置 |
| 治療期間 | 8ヶ月 |
| 費用 | |
| 備考 |
