部分矯正(MTM)矯正 症例
-
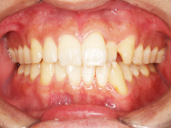
部分矯正リンガル部分矯正(MTM)矯正 症例歯がガタガタ・でこぼこ
右上の前歯がねじれている

Before

After
年齢 31歳 性別 女性 症状 上顎前歯捻転 治療内容 歯の裏に装置を接着して歯並びを治す 治療期間 8ヶ月 費用 368,000円 ※最新の治療費についてはご確認ください 備考 -
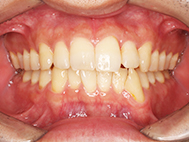
部分矯正リンガル部分矯正(MTM)矯正 症例歯がガタガタ・でこぼこ
左の前歯が下の歯の内側に倒れている

Before

After
年齢 32歳 性別 女性 症状 上顎前歯叢生 治療内容 前から装置が見えない裏側矯正 治療期間 10ヶ月 費用 368,000円 ※最新の治療費についてはご確認ください 備考 -
部分矯正リンガル部分矯正(MTM)矯正 症例歯がガタガタ・でこぼこ
左の前歯が内側に入っている

Before

After
年齢 30歳 性別 男性 症状 上顎前歯舌側転移 治療内容 前から見えないリンガル 裏側矯正装置 治療期間 7ヶ月 費用 368,000円 ※最新の治療費についてはご確認ください 備考 -
部分矯正(MTM)矯正 症例歯がガタガタ・でこぼこ
上の前歯ガタガタ

Before

After
年齢 31歳 性別 女性 症状 上顎前歯部叢生 治療内容 透明で目立たない装置 治療期間 6か月 費用 318,000円 ※最新の治療費についてはご確認ください 備考 -
八重歯部分矯正(MTM)矯正 症例歯がガタガタ・でこぼこ
右八重歯左の前歯が前に出ている

Before

After
年齢 39歳 性別 女性 症状 上顎前歯叢生 治療内容 透明で目立たない装置 治療期間 7ヶ月 費用 318,000円 ※最新の治療費についてはご確認ください 備考 -
部分矯正(MTM)矯正 症例歯がガタガタ・でこぼこ
左の前歯が後ろに引っ込んでいる

Before

After
年齢 29歳 性別 女性 症状 上顎前歯叢生 治療内容 透明で目立たない装置 治療期間 6か月 費用 318,000円 ※最新の治療費についてはご確認ください 備考 -
部分矯正(MTM)矯正 症例歯がガタガタ・でこぼこ
上の前歯翼状捻転

Before

After
年齢 26歳 性別 女性 症状 上顎前歯翼状捻転 治療内容 歯の表側に付ける透明な装置 治療期間 6ヶ月 費用 318,000円 ※最新の治療費についてはご確認ください 備考 -
八重歯部分矯正(MTM)矯正 症例歯がガタガタ・でこぼこ
左の八重歯を治したい

Before

After
年齢 29歳 性別 女性 症状 八重歯 治療内容 透明で目立たない装置 治療期間 17ヶ月 費用 318,000円 ※最新の治療費についてはご確認ください 備考 -
嚙み合わせ深い部分矯正(MTM)矯正 症例出っ歯歯がガタガタ・でこぼこ
上の前歯がねじれているのが気になる

Before

After
年齢 27歳 性別 女性 症状 上顎前歯叢生 治療内容 透明で目立たない矯正装置 治療期間 8ヶ月 費用 318,000円 備考 -
部分矯正リンガル部分矯正(MTM)矯正 症例歯がガタガタ・でこぼこ
左前歯がねじれている

Before

After
年齢 27歳 性別 女性 症状 上顎前歯捻転 治療内容 歯の裏側に貼り付ける装置 治療期間 6ヶ月 費用 368,000円 備考
